Estética superior, resistencia extrema y naturalidad sin igual
¿Qué son las carillas de zirconio?
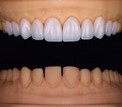
Las carillas dentales de zirconio son finas láminas fabricadas en óxido de zirconio, un material cerámico altamente resistente y biocompatible, que se adhieren a la superficie frontal de los dientes para mejorar su forma, color, tamaño y alineación.
Este tipo de carillas representa lo último en estética dental avanzada, ya que combina un acabado natural con una durabilidad superior al de otras carillas. Son ideales para pacientes que buscan una sonrisa perfecta con máxima resistencia a largo plazo.

¿Para quiénes están indicadas?
- Pacientes con dientes pigmentados o manchados.
- Personas con fracturas, desgastes o formas dentales irregulares.
- Quienes desean cerrar espacios (diastemas) sin ortodoncia.
- Pacientes con alta demanda estética en la zona frontal.
- Personas con bruxismo leve que requieren carillas más resistentes.
Beneficios de las carillas de zirconio
• Resistencia mecánica superior: ideales para pacientes con hábitos de presión.
• Alta translucidez y naturalidad: imita perfectamente el esmalte natural.
• Estética duradera: no cambian de color con el tiempo.
• Biocompatibles: no causan reacciones alérgicas ni irritaciones.
• Longevidad clínica: pueden durar entre 15 y 20 años con buen cuidado.
• Menor desgaste en el diente natural, comparado con coronas completas.
¿Cuál es el proceso?
- Consulta de valoración y diseño digital de sonrisa (DSD).
- Toma de fotografías, escaneo y planificación personalizada.
- Tallado conservador del diente (si es necesario).
- Colocación de carillas provisionales.
- Prueba de color y forma.
- Cementado final de las carillas de zirconio.
- Seguimiento clínico y recomendaciones.




¿Cuánto cuestan las carillas de zirconio en Colombia?

El precio puede variar según el número de carillas y complejidad del diseño, pero en promedio:
- Valor por unidad: desde $800.000
- Diseño completo de sonrisa (6 a 10 carillas): desde $4.800.000.
Incluye diseño digital, provisionales, laboratorio estético y colocación.
¿Por qué elegir DENTAL CENTER MD?
- Expertos en estética dental avanzada y restauraciones cerámicas.
- Diseño de sonrisa digital personalizado.
- Laboratorio dental de alta estética y precisión.
- Técnicas mínimamente invasivas.
- Resultados altamente naturales, funcionales y duraderos.
Agenda tu cita
¿Quieres transformar tu sonrisa con lo mejor en estética dental? Las carillas de zirconio son una inversión a largo plazo en confianza y belleza.
📲 [Botón Agendar Valoración]
📍 Bogotá – Tu nueva sonrisa empieza hoy.
Aviso Legal
Este contenido es informativo y no sustituye una consulta con un profesional en odontología estética. Todos los tratamientos deben ser evaluados individualmente. Los resultados pueden variar según hábitos, condiciones dentales y cuidados posteriores.